
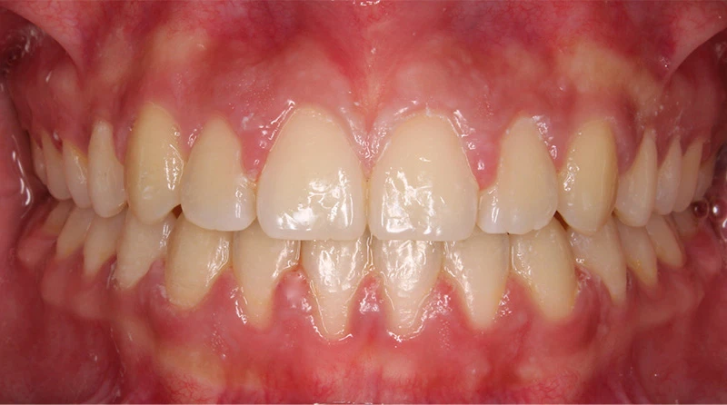
Al utilizar un tratamiento de ortodoncia se obtiene los siguientes beneficios: By using orthodontic treatment, you gain the following benefits:
Funcionales
Al masticar y morder, los dientes no presentarán tanto desgaste a demás reducirán su sensibilidad al estar en buena posición. Functional
When chewing and biting, the teeth will experience less wear and will reduce sensitivity by being in the correct position.
Estéticos
Sonrisa más alineada y radiante la cual mejorará tu autoestima. Aesthetic
A more aligned and radiant smile that will enhance your self-esteem.
Salud
Mejor higiene a la hora del cepillado y uso de hilo dental por consiguiente se tiene menos incidencia de caries. Notarás menos tensión en zonas que ésta se acumula por masticación incorrecta como en espalda, oídos, cabeza y articulación temporomandibular. Health
Better hygiene when brushing and using dental floss, consequently leading to a lower incidence of cavities. You will notice less tension in areas where it accumulates due to incorrect chewing, such as in the back, ears, head, and temporomandibular joint.


Existen diferentes tipos de aparatos para realizar tratamiento de ortodoncia. Con la ayuda de la evaluación dental y estudios necesarios, podemos darte las mejores opciones de acuerdo a tus necesidades. There are different types of appliances to perform orthodontic treatment. With the help of dental evaluation and necessary studies, we can give you the best options according to your needs.
Durante el tratamiento de ortodoncia se tomarán fotografías periódicas para evaluar los movimientos y avances que se le mostrarán al paciente. También se monitoreará cada 6 meses por medio de una radiografía panorámica las raíces y hueso para garantizar un óptimo tratamiento. During the orthodontic treatment, periodic photographs will be taken to evaluate the movements and advances that will be shown to the patient. The roots and bone will also be monitored every 6 months by means of a panoramic X-ray to guarantee optimal treatment.
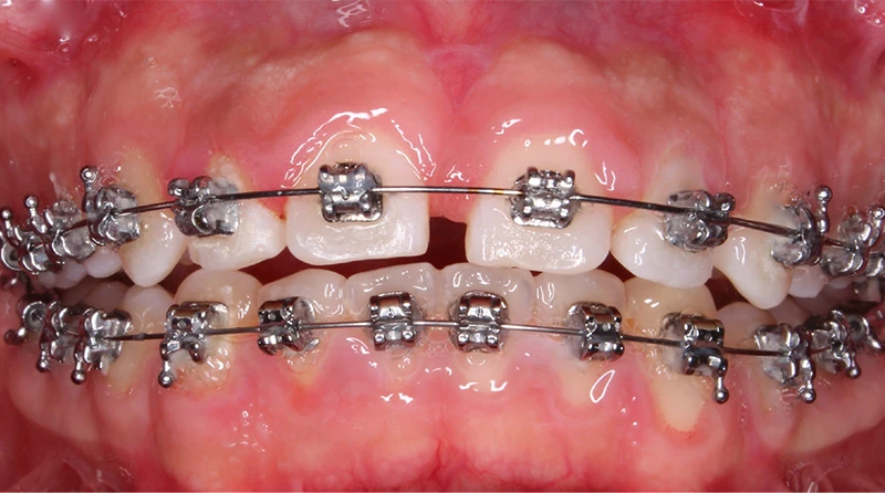
Brackets Metálicos
Son los aparatos de ortodoncia más utilizados, consiste en un arco para aplicar presión y una ligadura para sostener el arco. Estas ligaduras pueden ser del color que tú prefieras.
Metal Brackets
These are the most commonly used orthodontic appliances, consisting of an arch to apply pressure and a ligature to hold the arch. These ligatures can be in any color you prefer.
Brackets Cerámicos
Son aparatos de ortodoncia visiblemente más estéticos ya que el color del bracket es similar al diente. Cuenta con un arco para aplicar presión y ligaduras para sostener el arco.
Ceramic Brackets
These are visibly more aesthetic orthodontic appliances as the color of the bracket is similar to the tooth. They have an arch to apply pressure and ligatures to hold the arch.
Brackets de Autoligado Metálico/Cerámico
Son aparatos de ortodoncia que tienen una compuerta que atrapa al arco metálico sin necesidad de utilizar ligadura. Existen dos presentaciones de autoligado: el de bracket metálico y el de bracket cerámico, que este último es visiblemente más estético ya que se asemeja al color del diente. Self-Ligating Metal/Ceramic Brackets
These are orthodontic appliances that have a gate that traps the metal arch without the need for a ligature. There are two types of self-ligating: metal brackets and ceramic brackets, the latter being visibly more aesthetic as it resembles the color of the tooth.
Ventajas de los brackets de autoligado Advantages of self-ligating brackets
Proporciona movimientos más rápidos de los dientes, por lo cual el tratamiento puede durar menos tiempo. It provides faster tooth movements, which can shorten the treatment time.
Mejor higiene ya que no requiere ligaduras, ya que estas atrapan alimento. Better hygiene since it does not require ligatures, which trap food.
Los ajustes con el ortodoncista son más espaciados, cada 5 o 8 semanas, depende del caso. Adjustments with the orthodontist are more spaced out, every 5 to 8 weeks, depending on the case.

Son aparatos de ortodoncia que se realizan en laboratorio con máquinas 3D que simulan los movimientos de los dientes y por medio de esto se genera una férula de ortodoncia casi imperceptible y cómoda; a diferencia de los brackets convencionales, no requiere cementado de brackets ni aparatos ortopédicos.
They are orthodontic devices made in a laboratory with 3D machines that simulate the movements of the teeth, generating an almost imperceptible and comfortable orthodontic splint; unlike conventional braces, they do not require bracket cementing or orthopedic appliances.
Ventajas Advantages
Son perfectamente extraíbles. They are perfectly removable.
Se pueden retirar para las comidas y el cepillado. They can be removed for meals and brushing.
Son sumamente cómodos. They are extremely comfortable.
No existen limitaciones al tipo de comida, ya que se pueden extraer para comer. There are no limitations on the type of food, as they can be removed for eating.
Desventajas Disadvantages
Cada alineador se remplaza cada 2 semanas. Each aligner is replaced every 2 weeks.
Dado que se deben de quitar para comer, se deben de guardar en su caja ya que son fáciles de perder. Since they must be removed to eat, they should be stored in their case as they are easy to lose.
Dependiendo de los hábitos del paciente es el avance del tratamiento, ya que el paciente puede olvidar colocarlo por días y no tener el avance necesario para completar el tratamiento en el tiempo que se estimó. The progress of the treatment depends on the patient's habits, as the patient may forget to wear it for days and not achieve the necessary progress to complete the treatment in the estimated time.
O agenda una cita
Or schedule an appointment
Torre Quatro, Frida Kahlo local 508
Zona Urbana Rio Tijuana, 22010 Tijuana, B.C.
© Consultorio Dental Dra Iris Olivas.